スペシャル
2026年1月19日(月) 公開
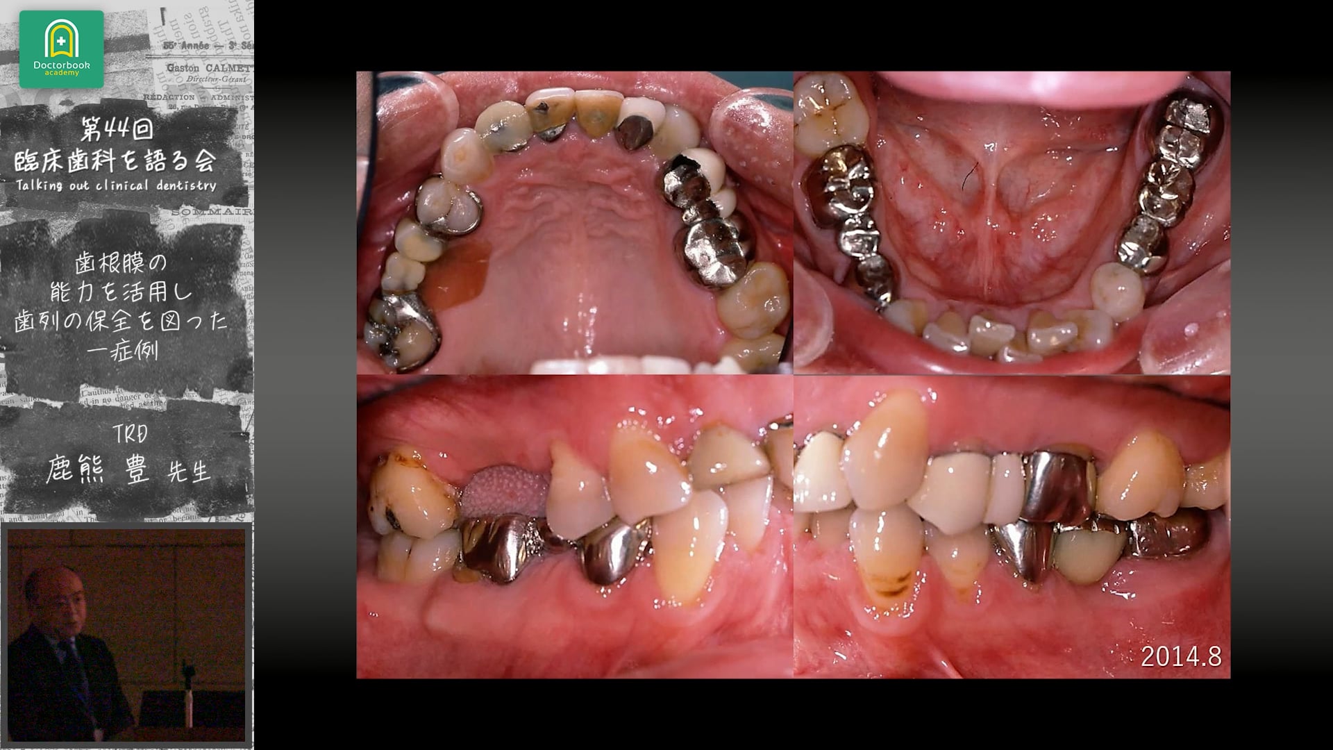
歯根膜の能力を活用して歯列の保全を図った一症例:鹿熊豊先生|会員発表
- 価格
- 3,300円〜(税込) (D+会員 2,640円〜(税込))
- 付与ポイント
- 1% (通常:30pt〜 D+会員:24pt〜)
-
2025年7月4日-7月6日に開催された『第44回 臨床歯科を語る会』のアーカイブから、
各講演の模様をお届けします。
本動画では、鹿熊豊先生による「歯根膜の能力を活用した支台歯保存症例」を紹介しています。
46歳男性を対象に、37・46の欠損部に対し、歯根膜の再生力を応用した矯正的挺出および自家歯牙移植を実施。
38・28の移植を試みたものの、歯根膜の状態や癒着により移植の難しさを経験しました。
その後、歯根膜の生理的機能を重視した治療設計を行い、7年以上良好に経過。
考察では、歯根膜の状態を適切に評価し、保存可能な支台歯を最大限に活かす重要性が強調されています。●この機会に「臨床歯科を語る会」へ入会したいという方も歓迎しております。
「臨床歯科を語る会」入会はこちら入会後、臨床歯科を語る会HP「ドクターブック」ページ内の申請フォームよりお申し込みをいただきますと、会員資格を確認したうえで会員限定価格での決済ページをDoctorbook運営よりご案内申し上げます。
関連動画
-
2026年1月23日(金) 公開スペシャル
アブフラクション"仮説" の現在地|第44回 臨床歯科を語る会 【全体会】
-
2026年1月21日(水) 公開スペシャル
患者の生活背景からアプローチした広汎型浸襲性歯周炎の一例|第44回 臨床歯科を語る会 【全体会】
-
2026年1月19日(月) 公開スペシャル
歯根膜の能力を活用して歯列の保全を図った一症例|第44回 臨床歯科を語る会 【全体会】
-
2026年1月16日(金) 公開スペシャル
再評価の重要性を再認識した重度慢性歯周炎症例|第44回 臨床歯科を語る会 【全体会】
-
2026年1月14日(水) 公開スペシャル
受圧条件を考慮し補綴設計を模索した症例|第44回 臨床歯科を語る会 【全体会】
-
2026年1月12日(月) 公開無料
開会挨拶、会員発表|第44回 臨床歯科を語る会 【全体会】
Doctorbook academy
本サイトは、歯科医療に従事されている皆さまを対象に情報提供するサイトです。
あなたは歯科医療従事者ですか?
※一般の方は患者向けサイトDoctorbook をご覧ください
Facebook ログインの確認
Doctorbook academy は Facebook ログインをサポートします。
Facebook アカウントより必要な情報を取得します。
許可する場合、YES を押して Facebook 連携に進んでください。
誤って Facebook ログインを選んだ場合は NO を押してください。

