スペシャル
2026年1月21日(水) 公開
患者の生活背景からアプローチした広汎型浸襲性歯周炎の一例:高野 真先生|会員発表
- 価格
- 1,650円〜(税込) (D+会員 1,320円〜(税込))
- 付与ポイント
- 1% (通常:15pt〜 D+会員:12pt〜)
-
2025年7月4日-7月6日に開催された『第44回 臨床歯科を語る会』のアーカイブから、
各講演の模様をお届けします。
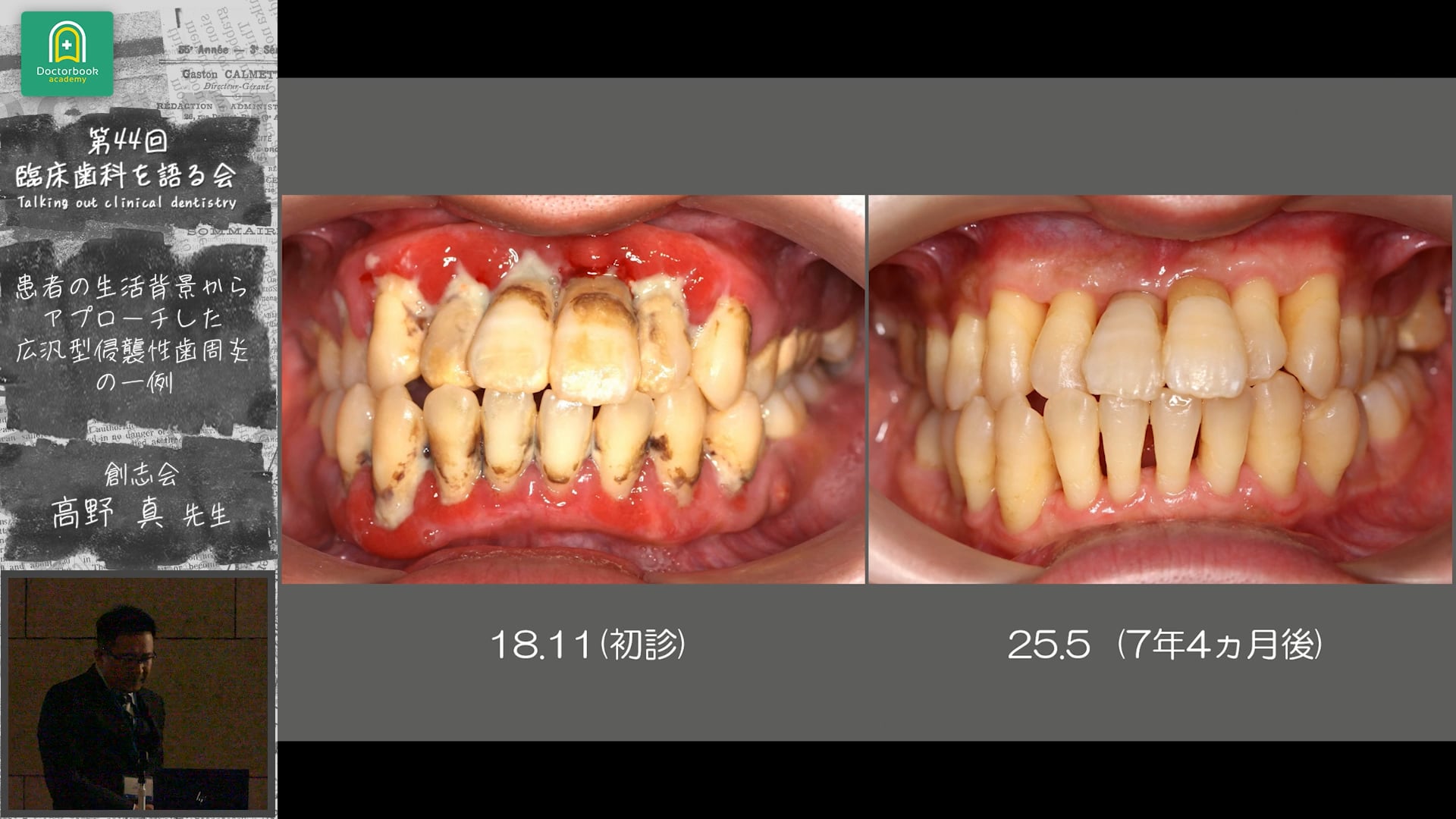
本動画では、高野真先生による「後期発症型侵襲性歯周炎」の症例を紹介しています。
28歳男性、重度の骨吸収と広範囲な排膿を伴う歯周病に対し、徹底した基本治療と生活習慣の見直しを実施。
抗菌療法・SRP・プラークコントロールの強化により炎症が沈静化し、歯肉の改善を確認しました。
さらに、咀嚼や食生活への意識改革を促し、患者自身の行動変容が治療成功の鍵に。4年の経過で口腔環境は劇的に改善し、現在も安定したSPTを継続中です。
歯科医と患者が協働する“生活再建型歯周治療”の重要性を伝える症例です。●この機会に「臨床歯科を語る会」へ入会したいという方も歓迎しております。
「臨床歯科を語る会」入会はこちら入会後、臨床歯科を語る会HP「ドクターブック」ページ内の申請フォームよりお申し込みをいただきますと、会員資格を確認したうえで会員限定価格での決済ページをDoctorbook運営よりご案内申し上げます。
関連動画
-
2026年1月23日(金) 公開スペシャル
アブフラクション"仮説" の現在地|第44回 臨床歯科を語る会 【全体会】
-
2026年1月21日(水) 公開スペシャル
患者の生活背景からアプローチした広汎型浸襲性歯周炎の一例|第44回 臨床歯科を語る会 【全体会】
-
2026年1月19日(月) 公開スペシャル
歯根膜の能力を活用して歯列の保全を図った一症例|第44回 臨床歯科を語る会 【全体会】
-
2026年1月16日(金) 公開スペシャル
再評価の重要性を再認識した重度慢性歯周炎症例|第44回 臨床歯科を語る会 【全体会】
-
2026年1月14日(水) 公開スペシャル
受圧条件を考慮し補綴設計を模索した症例|第44回 臨床歯科を語る会 【全体会】
-
2026年1月12日(月) 公開無料
開会挨拶、会員発表|第44回 臨床歯科を語る会 【全体会】
Doctorbook academy
本サイトは、歯科医療に従事されている皆さまを対象に情報提供するサイトです。
あなたは歯科医療従事者ですか?
※一般の方は患者向けサイトDoctorbook をご覧ください
Facebook ログインの確認
Doctorbook academy は Facebook ログインをサポートします。
Facebook アカウントより必要な情報を取得します。
許可する場合、YES を押して Facebook 連携に進んでください。
誤って Facebook ログインを選んだ場合は NO を押してください。

