スペシャル
2026年1月30日(金) 公開
臨床歯科を語る会
-
猪狩 寛晶先生
フォロー
- 価格
- 4,950円〜(税込) (D+会員 3,960円〜(税込))
- 付与ポイント
- 1% (通常:45pt〜 D+会員:36pt〜)
D+会員40%OFF★月イチ感謝デー対象!4/30まで。詳細は画像をクリック↓

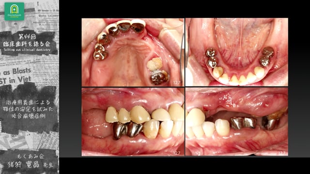
震災後に来院した55歳女性患者に対し、残存歯の保存を最大限に考慮した治療計画を実践。
治療用義歯を用いて咬合を確保し、段階的な咬合再構築とプロビジョナル調整を行うことで、上下的偏在を抑制し安定した咬合を獲得。
9年経過後も良好な機能維持を確認し、治療用義歯の活用と患者との情報共有が咬合再建成功の鍵であることを示しました。
発表後のディスカッションでは、治療設計や義歯設計の判断基準を深掘りしています。
●この機会に「臨床歯科を語る会」へ入会したいという方も歓迎しております。
「臨床歯科を語る会」入会はこちら
入会後、臨床歯科を語る会HP「ドクターブック」ページ内の申請フォームよりお申し込みをいただきますと、会員資格を確認したうえで会員限定価格での決済ページをDoctorbook運営よりご案内申し上げます。
エピソード
-
咬合崩壊症例の補綴設計を実症例で解説。治療用義歯を用いた段階的咬合再構築と9年経過を報告する猪狩先生の発表。再生する
再生時間 32:14
レビュー
-
(0人の評価)
こちらの動画もおすすめ
-
2026年2月4日(水) 公開ディスカッション|第44回 臨床歯科を語る会 分科会【咬合崩壊症例の治療ステップ ~治療用義歯をどう活用するか~】 -
2026年2月4日(水) 公開治療と介入と欠損のゆくえ〜臼歯咬合の崩壊と以後の歯列の推移〜|第44回 臨床歯科を語る会 分科会【咬合崩壊症例の治療ステップ ~治療用義歯をどう活用するか~】 -
2026年2月2日(月) 公開咬合崩壊症例の様相|第44回 臨床歯科を語る会 分科会【咬合崩壊症例の治療ステップ ~治療用義歯をどう活用するか~】 -
2026年1月30日(金) 公開治療用義歯による顎位の安定を試みた咬合崩壊症例|第44回 臨床歯科を語る会 分科会【咬合崩壊症例の治療ステップ ~治療用義歯をどう活用するか~】 -
2026年1月28日(水) 公開義歯の挙動に苦慮したEichner B4症例|第44回 臨床歯科を語る会 分科会【咬合崩壊症例の治療ステップ ~治療用義歯をどう活用するか~】 -
2026年1月26日(月) 公開咬合崩壊症例の治療ステップ ~治療用義歯をどう活用するか~|第44回 臨床歯科を語る会 分科会 -
2026年1月26日(月) 公開Introduction|分科会「咬合崩壊症例の治療ステップ ~治療用義歯をどう活用するか~」 -
2026年1月26日(月) 公開強い咬合力と剪断応力の対応に苦慮した1症例|第44回 臨床歯科を語る会 分科会【咬合崩壊症例の治療ステップ ~治療用義歯をどう活用するか~】
Doctorbook academy
本サイトは、歯科医療に従事されている皆さまを対象に情報提供するサイトです。
あなたは歯科医療従事者ですか?
※一般の方は患者向けサイトDoctorbook をご覧ください
Facebook ログインの確認
Doctorbook academy は Facebook ログインをサポートします。
Facebook アカウントより必要な情報を取得します。
許可する場合、YES を押して Facebook 連携に進んでください。
誤って Facebook ログインを選んだ場合は NO を押してください。