治療用義歯による顎位の安定を試みた咬合崩壊症例:猪狩 寛晶先生|分科会「咬合崩壊症例の治療ステップ ~治療用義歯をどう活用するか~」
-
猪狩 寛晶先生
フォロー
- 価格
- 4,950円〜(税込) (D+会員 3,960円〜(税込))
- 付与ポイント
- 1% (通常:45pt〜 D+会員:36pt〜)
-
2025年7月5日-7月6日に開催された『第44回 臨床歯科を語る会』のアーカイブから、
各講演の模様をお届けします。
本動画では、猪狩先生が「咬合崩壊症例に対する補綴設計と長期経過」について症例をもとに発表。
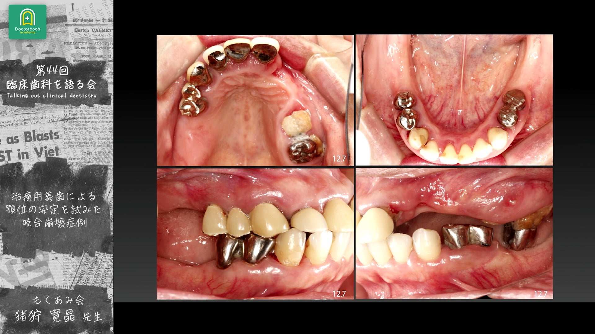
震災後に来院した55歳女性患者に対し、残存歯の保存を最大限に考慮した治療計画を実践。
治療用義歯を用いて咬合を確保し、段階的な咬合再構築とプロビジョナル調整を行うことで、上下的偏在を抑制し安定した咬合を獲得。
9年経過後も良好な機能維持を確認し、治療用義歯の活用と患者との情報共有が咬合再建成功の鍵であることを示しました。
発表後のディスカッションでは、治療設計や義歯設計の判断基準を深掘りしています。●この機会に「臨床歯科を語る会」へ入会したいという方も歓迎しております。
「臨床歯科を語る会」入会はこちら入会後、臨床歯科を語る会HP「ドクターブック」ページ内の申請フォームよりお申し込みをいただきますと、会員資格を確認したうえで会員限定価格での決済ページをDoctorbook運営よりご案内申し上げます。
関連動画
-
2026年2月4日(水) 公開スペシャル
ディスカッション|第44回 臨床歯科を語る会 分科会【咬合崩壊症例の治療ステップ ~治療用義歯をどう活用するか~】
-
2026年2月4日(水) 公開スペシャル
治療と介入と欠損のゆくえ〜臼歯咬合の崩壊と以後の歯列の推移〜|第44回 臨床歯科を語る会 分科会【咬合崩壊症例の治療ステップ ~治療用義歯をどう活用するか~】
-
2026年2月2日(月) 公開スペシャル
咬合崩壊症例の様相|第44回 臨床歯科を語る会 分科会【咬合崩壊症例の治療ステップ ~治療用義歯をどう活用するか~】
-
2026年1月30日(金) 公開スペシャル
治療用義歯による顎位の安定を試みた咬合崩壊症例|第44回 臨床歯科を語る会 分科会【咬合崩壊症例の治療ステップ ~治療用義歯をどう活用するか~】
-
2026年1月28日(水) 公開スペシャル
義歯の挙動に苦慮したEichner B4症例|第44回 臨床歯科を語る会 分科会【咬合崩壊症例の治療ステップ ~治療用義歯をどう活用するか~】
-
2026年1月26日(月) 公開スペシャル
咬合崩壊症例の治療ステップ ~治療用義歯をどう活用するか~|第44回 臨床歯科を語る会 分科会
-
2026年1月26日(月) 公開無料
Introduction|分科会「咬合崩壊症例の治療ステップ ~治療用義歯をどう活用するか~」
-
2026年1月26日(月) 公開スペシャル
強い咬合力と剪断応力の対応に苦慮した1症例|第44回 臨床歯科を語る会 分科会【咬合崩壊症例の治療ステップ ~治療用義歯をどう活用するか~】
Doctorbook academy
本サイトは、歯科医療に従事されている皆さまを対象に情報提供するサイトです。
あなたは歯科医療従事者ですか?
※一般の方は患者向けサイトDoctorbook をご覧ください
Facebook ログインの確認
Doctorbook academy は Facebook ログインをサポートします。
Facebook アカウントより必要な情報を取得します。
許可する場合、YES を押して Facebook 連携に進んでください。
誤って Facebook ログインを選んだ場合は NO を押してください。

