スペシャル
2025年3月28日(金) 公開
- 価格
- 16,500円〜(税込)
- 付与ポイント
- 1% (150pt〜)


若手歯科医師が治療した症例をもとに、土屋先生と若手歯科医師がディスカッションを繰り広げます!
適切な治療計画にはバックグラウンドの把握が必要です。なぜ歯を失ったのか。パノラマ写真や口腔内写真からわかることは多くあります。どこに目を付ければ何が分かるのでしょうか?土屋先生と考えていきましょう。
最後まで、ぜひご視聴ください。シリーズ詳細はこちら
エピソード
-
今回は矯正治療の必要性や抜歯のボーダーについて深く考えることができ、どの歯を残すべきかや咬合平面の考え方を学ぶことができます。症例:59歳女性で主訴は検診希望、5年ほど前から治療を受けていないため悪いところは治したい。再生する
再生時間 33:23
-
有床義歯を使用し、ファイナルに向けて進めている症例。10年先を見据えた治療計画の立案についての動画です。症例:77歳女性、主訴は顎が痛い再生する
再生時間 14:14
-
Part2から引き続き、有床義歯を使用し、ファイナルに向けて進めている症例。10年先を見据えた治療計画の立案についての動画です。再生する
再生時間 18:39
-
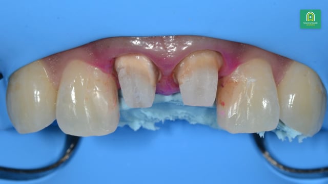
前歯部の審美症例のプレゼンテーション。審美修復を行う際の診査診断および治療計画についての動画です。症例:37歳女性、前歯の色が気になる再生する
再生時間 24:32
-
土屋先生による審美修復についての参考症例を見ていきます。プロビジョナライゼーションによる審美修復の診査診断と実際の手技について詳しく解説いただきます。再生する
再生時間 24:59
レビュー

-
(0人の評価)
こちらの動画もおすすめ
-
2025年2月25日(火) 公開土屋賢司先生症例 100本ノック 第14回
-
2025年1月20日(月) 公開土屋賢司先生症例 100本ノック 第13回
-
2024年12月5日(木) 公開土屋賢司先生症例 100本ノック 第12回
-
2024年11月1日(金) 公開土屋賢司先生症例 100本ノック 第11回
-
2024年6月21日(金) 公開土屋賢司先生症例 100本ノック 特別講演
-
2023年11月15日(水) 公開土屋賢司先生症例 100本ノック 第10回
-
2023年10月11日(水) 公開土屋賢司先生症例 100本ノック 第9回
-
2023年9月6日(水) 公開土屋賢司先生症例 100本ノック 第8回
Doctorbook academy
本サイトは、歯科医療に従事されている皆さまを対象に情報提供するサイトです。
あなたは歯科医療従事者ですか?
※一般の方は患者向けサイトDoctorbook をご覧ください
Facebook ログインの確認
Doctorbook academy は Facebook ログインをサポートします。
Facebook アカウントより必要な情報を取得します。
許可する場合、YES を押して Facebook 連携に進んでください。
誤って Facebook ログインを選んだ場合は NO を押してください。