歯根近接と支台歯の短さを抱える前歯部審美補綴症例 #4
- 価格
- 16,500円〜(税込)
- 付与ポイント
- 1% (150pt〜)
-
100本ノック第15回最後のケースは審美修復の症例です。
では早速症例から見ていきましょう。
37歳女性、前歯の色が気になるとのことです。
叢生があるため矯正の必要性を伝えたが矯正は希望していません。
補綴を外し、ダウエルコアも除去していきます。
また、プロビジョナルを装着し歯肉のクリーピングを待ちラバーダム下で補綴物をセットします。
ではここまでのプレゼンテーションから今回の症例では何を考える必要があったでしょうか?
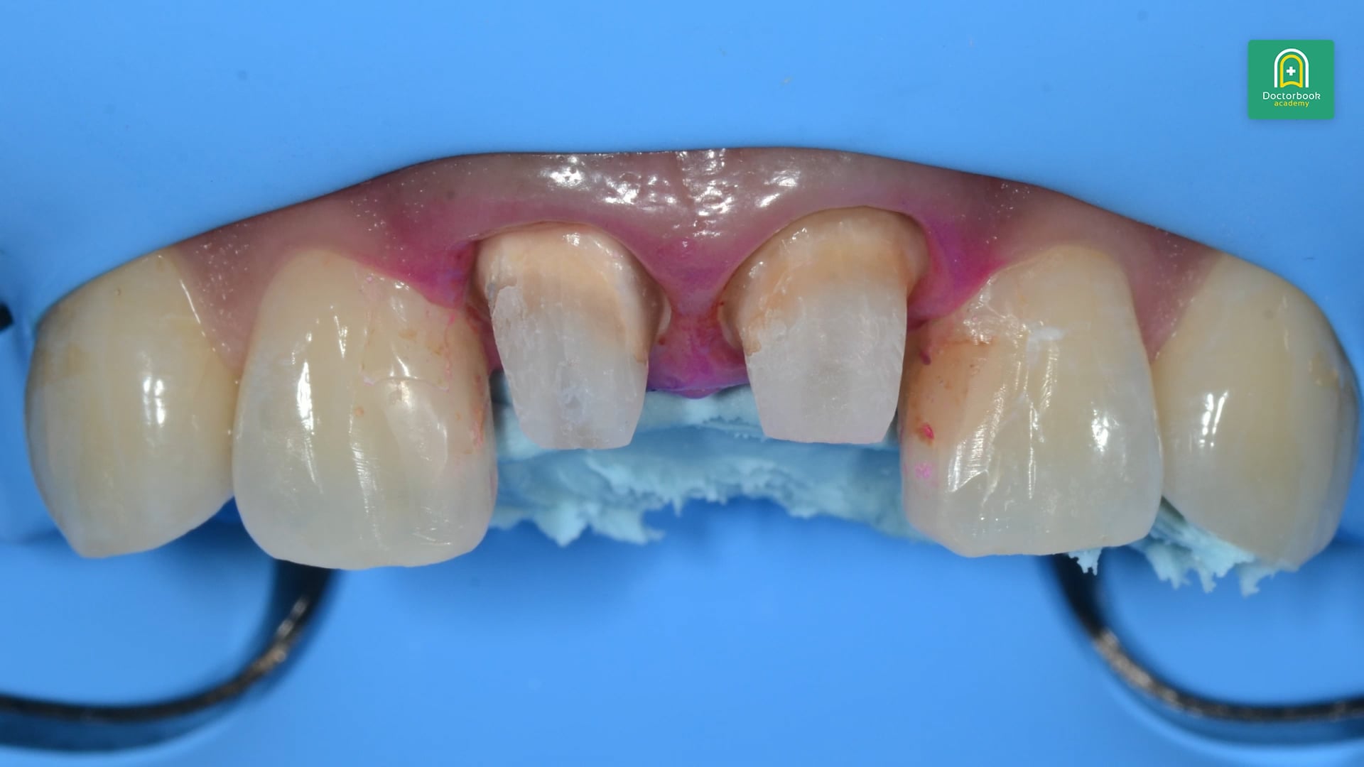
最初に前歯部の歯根近接について着目します。
歯根近接の場合、歯間乳頭ができにくいためです。
今回はコアがそこまで長くないが、長いコアの場合は除去が困難です。
補綴物を連結するか単冠にするかの基準はどうしていますか?
連結にしたいと思ってしまう要因としては、単冠にした場合脱離する不安が残ります。
実際に今回の症例では支台歯が短く、歯冠が長いため外れるリスクが考えられます。
なぜプロビジョナルとファイナルのミスマッチが起きてくるのか?
それは最終補綴の形態を最初に決めていないからです。
クラウンを作る時も診断用ワックスアップが必要です。
そうすることで初診の段階で咬合関係の把握ができ、対合で調整する可能性も予め伝えることができます。
妥協的な治療をしなければならない症例に対して、これ以上妥協できないポイントが重要です。
前歯部の補綴には臼歯部のバーティカルストップが欠かせません。
前歯のケースでも包括的に、機能的に口腔内を診査診断していきます。
機能を優先しないと審美がどんどん落ちていきます。
包括的に見ることが2本のクラウンを入れるにも大事です。
ワックスアップすることの大切さ、クラウンを入れる際の診査診断の重要性が今回のケースから学ぶことができるでしょう。
関連動画
-
2025年2月25日(火) 公開スペシャル
土屋賢司先生症例 100本ノック 第14回
-
2025年1月20日(月) 公開スペシャル
土屋賢司先生症例 100本ノック 第13回
-
2024年12月5日(木) 公開スペシャル
土屋賢司先生症例 100本ノック 第12回
-
2024年11月1日(金) 公開スペシャル
土屋賢司先生症例 100本ノック 第11回
-
2024年6月21日(金) 公開スペシャル
土屋賢司先生症例 100本ノック 特別講演
-
2023年11月15日(水) 公開スペシャル
土屋賢司先生症例 100本ノック 第10回
-
2023年10月11日(水) 公開スペシャル
土屋賢司先生症例 100本ノック 第9回
-
2023年9月6日(水) 公開スペシャル
土屋賢司先生症例 100本ノック 第8回
Doctorbook academy
本サイトは、歯科医療に従事されている皆さまを対象に情報提供するサイトです。
あなたは歯科医療従事者ですか?
※一般の方は患者向けサイトDoctorbook をご覧ください
Facebook ログインの確認
Doctorbook academy は Facebook ログインをサポートします。
Facebook アカウントより必要な情報を取得します。
許可する場合、YES を押して Facebook 連携に進んでください。
誤って Facebook ログインを選んだ場合は NO を押してください。

