スペシャル
2025年1月20日(月) 公開
- 価格
- 16,500円〜(税込)
- 付与ポイント
- 1% (150pt〜)


若手歯科医師が治療した症例をもとに、土屋先生と若手歯科医師がディスカッションを繰り広げます!
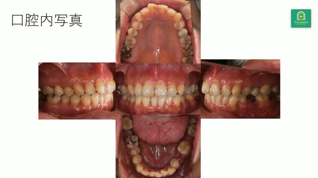
適切な治療計画にはバックグラウンドの把握が必要です。なぜ歯を失ったのか。パノラマ写真や口腔内写真からわかることは多くあります。どこに目を付ければ何が分かるのでしょうか?土屋先生と考えていきましょう。
最後まで、ぜひご視聴ください。シリーズ詳細はこちら
エピソード
-
症例100本ノックのpart1です。臼歯部が咬合崩壊し、バーティカルストップが欠如した症例を供覧します。若手の先生方と土屋先生との熱いディスカッションを通して経験値を蓄積していきましょう。再生する
再生時間 20:00
-
咬合支持を失い、徐々に咬合崩壊が進んでいきます。このような状態ではすれ違い咬合になることも少なくありません。すれ違い咬合は治療が難しくなりますが、そんな時にどこに目を付けたらよいのでしょうか?再生する
再生時間 19:13
-
少数歯欠損であったとしても治療計画に苦慮することは多いのではないでしょうか。欠損が少なくても歯軸の変位などがあれば格段に治療が難しくなります。土屋先生と一緒に少数歯欠損の対応を考えていきましょう。再生する
再生時間 11:22
-
少数歯欠損でも顎運動の診査は欠かせません。土屋先生の参考症例から、少数歯欠損であっても気を付けなければならない症例の目の付け所、考え方を共有しましょう。咬合力のコントロールが成功のカギになります。再生する
再生時間 13:58
-
欠損が多く、放置している期間が長いと咬合挙上が必要になる場合があります。咬合挙上には、全体的な診査・診断が欠かせません。土屋先生はどのように咬合挙上を行っているのでしょうか?再生する
再生時間 35:10
レビュー
こちらの動画もおすすめ
-
2025年2月25日(火) 公開土屋賢司先生症例 100本ノック 第14回
-
2024年12月5日(木) 公開土屋賢司先生症例 100本ノック 第12回
-
2024年11月1日(金) 公開土屋賢司先生症例 100本ノック 第11回
-
2024年6月21日(金) 公開土屋賢司先生症例 100本ノック 特別講演
-
2023年11月15日(水) 公開土屋賢司先生症例 100本ノック 第10回
-
2023年10月11日(水) 公開土屋賢司先生症例 100本ノック 第9回
-
2023年9月6日(水) 公開土屋賢司先生症例 100本ノック 第8回
-
2023年8月2日(水) 公開土屋賢司先生症例 100本ノック 第7回
Doctorbook academy
本サイトは、歯科医療に従事されている皆さまを対象に情報提供するサイトです。
あなたは歯科医療従事者ですか?
※一般の方は患者向けサイトDoctorbook をご覧ください
Facebook ログインの確認
Doctorbook academy は Facebook ログインをサポートします。
Facebook アカウントより必要な情報を取得します。
許可する場合、YES を押して Facebook 連携に進んでください。
誤って Facebook ログインを選んだ場合は NO を押してください。