少数歯欠損と近心傾斜歯を前提に組み立てる欠損補綴と矯正判断 #3
- 価格
- 16,500円〜(税込)
- 付与ポイント
- 1% (150pt〜)
-
次の症例は臼歯部の欠損が点在しており、近心傾斜した歯の矯正治療の有無などの必要性を考えていきましょう。
欠損の本数は多くありませんが、だからと言って治療が簡単というわけではありません。
今回も一つの症例をより深く、より広く考え考察していきましょう。
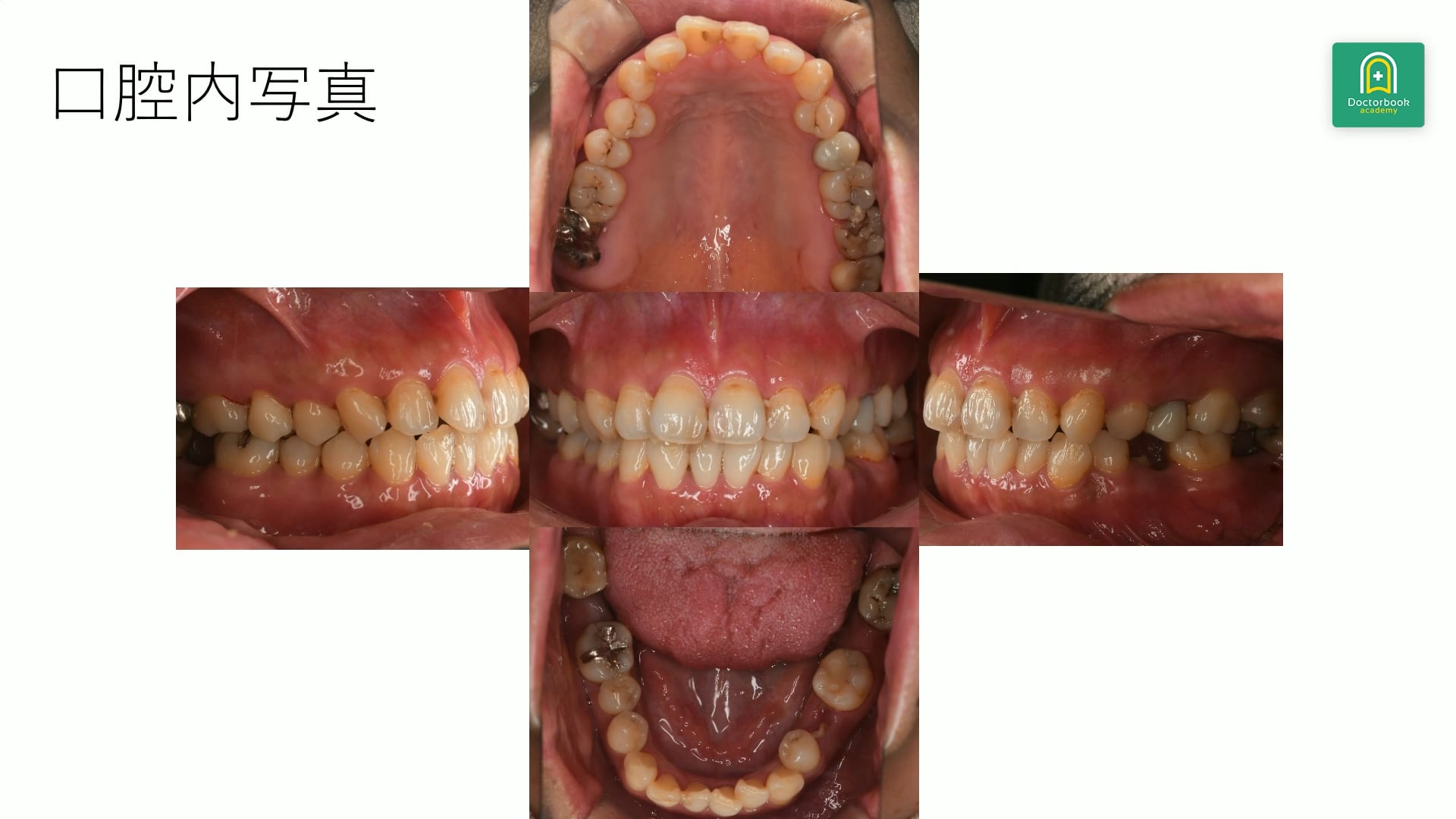
症例は40歳女性、左上の奥歯の疼痛を主訴に来院されました。
パノラマで、左上7に歯髄に近接する透過像を認め、疼痛の原因はこの歯であると思われました。
しかし、これ以外に欠損が点在しており、育児のために自己管理ができなかったとのことでした。
本症例の治療計画としては、保存困難歯の抜歯の上で、欠損補綴を行うこととしました。
また、近心傾斜をしている下顎両側8のアップライトを行うことを予定しています。
今回の口腔内写真やパノラマからどのようなことが考えられるでしょうか?
若手の先生方からは様々な意見が出ました。
舌の状態から口腔乾燥が疑われたり、矯正治療による犬歯誘導の獲得の必要性など各先生方からの考えが挙げられます。
また、上顎犬歯部の矯正治療の有無などはどうでしょうか?
少数歯の欠損であったとしても、患者様のお口の中をよく観察すると色々な意見が出てきます。
やはり、患者さまのパノラマや口腔内診察を十分に行うことは重要ですね。
今回は前回とは異なり、咬合崩壊を起こしていません。
しかし、少数歯欠損であっても、患者様のお口の中を見て得られる情報はたくさんあります。
土屋先生は今回の症例からどこに目を付け、どのように治療を考えることが望ましいと考えているのでしょうか。
ぜひ一緒に考えてみましょう。
関連動画
-
2025年2月25日(火) 公開スペシャル
土屋賢司先生症例 100本ノック 第14回
-
2024年12月5日(木) 公開スペシャル
土屋賢司先生症例 100本ノック 第12回
-
2024年11月1日(金) 公開スペシャル
土屋賢司先生症例 100本ノック 第11回
-
2024年6月21日(金) 公開スペシャル
土屋賢司先生症例 100本ノック 特別講演
-
2023年11月15日(水) 公開スペシャル
土屋賢司先生症例 100本ノック 第10回
-
2023年10月11日(水) 公開スペシャル
土屋賢司先生症例 100本ノック 第9回
-
2023年9月6日(水) 公開スペシャル
土屋賢司先生症例 100本ノック 第8回
-
2023年8月2日(水) 公開スペシャル
土屋賢司先生症例 100本ノック 第7回
Doctorbook academy
本サイトは、歯科医療に従事されている皆さまを対象に情報提供するサイトです。
あなたは歯科医療従事者ですか?
※一般の方は患者向けサイトDoctorbook をご覧ください
Facebook ログインの確認
Doctorbook academy は Facebook ログインをサポートします。
Facebook アカウントより必要な情報を取得します。
許可する場合、YES を押して Facebook 連携に進んでください。
誤って Facebook ログインを選んだ場合は NO を押してください。

