歯冠形態とガムラインを整える前歯部審美修復の実際 #2
- 価格
- 16,500円〜(税込)
- 付与ポイント
- 1% (150pt〜)
-
土屋先生の過去の症例から、今回の症例についてより深く考えていきましょう。
審美修復の際に土屋先生は何に気を付けているでしょうか。
それは、「歯冠形態」と「gingival line」です。
症例を通して、先人たちの知見を自分のものにしてみましょう。
最終補綴物を行う場合、支台歯形態がどのようなものであったとしても最後は綺麗に治さなければなりません。
メタルコアが入っていたり、インプラントのアバットメントであったり、ラミネートべニアであったり状態は様々です。
この時、支台歯を最も活かすためのマテリアルをあらかじめ選択しなければなりません。
また、歯肉を含めた軟組織のマネジメントも欠かせない要素です。
クラウンのカントゥアであったり、歯肉縁下の深さであったり、自在にコントロールすることで審美修復は可能になります。
これらを行うことで、ガムラインを一致させ、ただ綺麗だけでなく、より機能的にもなります。
ここで、症例を一つ見てみましょう。
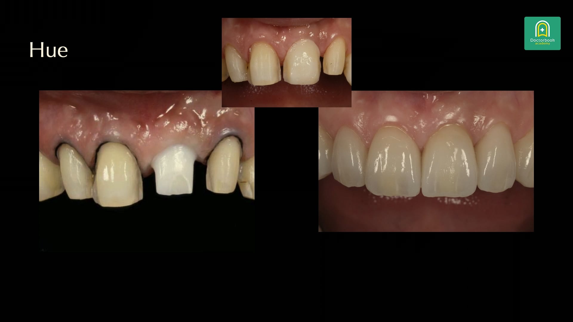
転倒による前歯部の破折を主訴に来院されました。
破折した歯の治療に合わせて、矯正治療も行い、歯冠修復まで行いました。
この際、反対側と形態を合わせたプロビジョナルレストレーションを作成することでガムラインを一致させることができます。
最終的には、破折した部分のみを補綴することになりました。
しかし、ここで問題が生じました。
セット後、最終補綴物が暗くなってしまい、色の調和がとれなくなってしまったのです。
この原因は、プレスしたマテリアルが、支台歯と同じ色調によって修復していたために生じたものでした。
また、歯冠形態も一見一致しているように見えますが、細かくみると歪んでいるために不調和が生じました。
ラボワークで技工士と連携を取りこれらの問題を最終的には解決しました。
この症例から言えることは、技工士との密な連携の必要性であり、診断用模型、ワックスアップの重要性です。
土屋先生の貴重な症例を見ながら、審美修復の肝を学んでいきましょう。
関連動画
-
2025年3月28日(金) 公開スペシャル
土屋賢司先生症例 100本ノック 第15回
-
2025年2月25日(火) 公開スペシャル
土屋賢司先生症例 100本ノック 第14回
-
2025年1月20日(月) 公開スペシャル
土屋賢司先生症例 100本ノック 第13回
-
2024年12月5日(木) 公開スペシャル
土屋賢司先生症例 100本ノック 第12回
-
2024年11月1日(金) 公開スペシャル
土屋賢司先生症例 100本ノック 第11回
-
2024年6月21日(金) 公開スペシャル
土屋賢司先生症例 100本ノック 特別講演
-
2023年11月15日(水) 公開スペシャル
土屋賢司先生症例 100本ノック 第10回
-
2023年10月11日(水) 公開スペシャル
土屋賢司先生症例 100本ノック 第9回
Doctorbook academy
本サイトは、歯科医療に従事されている皆さまを対象に情報提供するサイトです。
あなたは歯科医療従事者ですか?
※一般の方は患者向けサイトDoctorbook をご覧ください
Facebook ログインの確認
Doctorbook academy は Facebook ログインをサポートします。
Facebook アカウントより必要な情報を取得します。
許可する場合、YES を押して Facebook 連携に進んでください。
誤って Facebook ログインを選んだ場合は NO を押してください。

